The Sydney Morning Herald logo
Advertisement

This was published 1 year ago

It has no cure, but this doctor believes he has an answer to chronic fatigue

Boudicca Fox-Leonard

London: In 1989, a patient with myalgic encephalomyelitis (ME) came to see Dr Raymond Perrin in his capacity as an osteopath. The man had postural problems, but when Perrin worked with him using osteopathic techniques something else happened. His ME got better.

It sowed the seeds of a new theory on how to treat ME (also known as chronic fatigue syndrome) – as well as long COVID – that would see him butting up against the medical establishment.

Dr Raymond Perrin hypothesises that chronic fatigue syndrome is caused by a compromised lymphatic system.

The registered osteopath and neuroscientist hypothesised that ME was caused by a compromised lymphatic system. The lymphatics, which are controlled by the autonomic nervous system, were, he believed, draining the wrong way and pushing toxins back into the brain.

There was a major problem with his theory. At that point, there was no proof that a lymphatic system of the brain even existed, never mind any problems with it draining. The blood-brain barrier was believed to stop all large molecules getting into the brain. Perrin’s theory flew in the face of accepted science.

Advertisement

Undeterred, in 2005 he published his theory in his PhD thesis. He also carried on treating his patients with the manual techniques, developing the Perrin Technique. His hypothesis was that it sent larger toxins towards the main drainage point into the bloodstream, which is located underneath the collar bones.

Despite the lack of clinical studies, ME/CFS patients reported improvement with the treatment. In 2010, it was voted third in a list of the top 25 treatments in an ME Association patients’ survey, as expressed by patient preference. No.1 was pacing (balancing activity and rest to avoid exhaustion). No.2 was rest and relaxation.

Lymphatic drainage massage techniques help eliminate toxins from the body.File

Mainstream medicine remained sceptical, however.

A breakthrough 2012 study by Rochester University in the United States showed, using a new type of brain scan, that the brain did indeed drain into the lymphatics. Then, in 2015, a group from the University of Virginia discovered lymphatics vessels lining the brain in mice.

Advertisement

“After so many years, the foundation of my theory was being backed up by scientific discovery, albeit in rodents,” the 64-year-old scientist tells me.

Finally, in October this year, a study of five volunteers undergoing surgery confirmed the existence of a network of tunnels in the brain, known as the glymphatic system, that help drain waste from the brain.

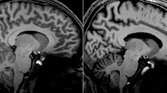
Detailed scans of a long-COVID patient (left) and an ME/CFS patient (right) show similar structures in the brain stem.Griffith University

“We now know there are seven weak spots that allow large molecules into the brain so large toxins can get in, so we need the lymphatics to drain those large molecules out,” Perrin says.

The causes of ME and chronic fatigue remain a contentious subject.

Advertisement

The case of 27-year-old Maeve Boothby-O’Neill, who suffered from severe chronic fatigue syndrome for a decade before she died at home in October 2021, shows how what was once widely known as “yuppie flu” is still poorly understood by medical professionals.

The condition is thought to be triggered by a virus. Perrin believes that is not always the case. While Perrin agrees that a virus can trigger a disturbance in the sympathetic nervous system, which then causes an imbalance of overall body functions, so too, he says, can bacterial infection, emotional stress, and trauma to the brain or spine.

Many of Perrin’s patients have been those who have suffered from postural issues, or sports people who have put their body under lots of stress. Most obviously, footballers heading balls.

“Common symptoms such as fatigue in the muscles are as a result of lactic not being drained away. Brain fog is caused by the toxicity in the brain affecting neural networks,” Perrin says.

Advertisement

In a new book, Through the Looking Glass, he explains how long COVID is similarly caused by inflammation and impairment of lymphatic drainage.

“COVID can be the final trigger that builds too much inflammation in the brain because the drainage isn’t working properly in the first place,” he says.

Despite the lack of clinical studies, ME/CFS patients reported improvement with the treatment.ninevms

To help this dysfunction, the Perrin Technique involves manual techniques that stimulate the lymph and drain it downwards, or upwards, towards the collarbone.

“Eventually, as less toxins invade the brain, the hypothalamus starts working properly. This regulates the autonomic nervous system and lymph system so that health is restored,” Perrin says.

Advertisement

One of the main areas the technique focuses on is around the nose. The cribriform plate is a perforated bone that separates the nasal cavity from the brain case. It is a key site for cerebrospinal fluid drainage and has been proven to drain 50 per cent of all lymphatic fluid into the neck.

As well as having trained osteopaths in the technique, Perrin has self-massage routines available on his website. For some, the manual techniques alleviate all symptoms, others need regular treatment.

Betty Ross, British broadcaster Jonathan Ross’ daughter, who was bed bound with ME and fibromyalgia for two years, is a high-profile success story of the Perrin Technique.

Women are disproportionately affected by ME/CFS and long COVID for three reasons, according to Perrin: the hypothalamus, the mother of the hormonal system, is affected and women’s hormones are more changeable than men’s; the hormone leptin, found at higher levels in women, can trigger a lot of inflammatory cytokines that cause more inflammation; if there is a backflow of drainage from close to the collarbones, the first port of call is the breast tissue, and women have more breast tissue, which leads to more toxic congestion.

Perrin is not without his critics, and the ME Association does not recommend the Perrin Technique, despite the results of its patients’ survey.

Advertisement

“In the absence of any sound scientific evidence to support the model of causation upon which this alternative treatment is based, and the lack of any sound evidence from well conducted clinical trials to confirm the safety and efficacy of using osteopathy and lymphatic drainage to remove toxins from the body, this is not a form of alternative treatment for ME/CFS that is recommended by either the ME Association or the Nice guideline on ME/CFS,” it states.

Asked about the scepticism around his technique, Perrin believes it is because people want to find a pill that will work, rather than a manual technique, “even though manual techniques are what cystic fibrosis sufferers rely upon [in order to loosen mucus] to stay alive”.

Dr Adrian Heald is a consultant physician in diabetes and endocrinology at Salford Royal and a research fellow at the University of Manchester involved in the assessment and treatment of chronic fatigue and long COVID. He has seen a number of patients with ME/CFS who have also been treated with the Perrin Technique.

“Anecdotally, we have seen positive results in patients with very difficult-to-treat chronic fatigue/ME who have been seeing Dr Perrin,” he says.

Advertisement

Heald’s team has recently submitted the findings of a feasibility study, sponsored by Britain’s National Health Service, in which an adaptation of the Perrin Technique was used for a home-based self-help treatment. The results in relation to the intervention were positive.

“We can’t say it definitely works because it’s not a full randomised control trial, but the results were encouraging,” Heald says.

The study has now been submitted for peer review.

It is an avenue of research that Heald believes is worth exploring.

“Chronic fatigue is an extremely complex and difficult condition to treat,” he says. “It manifests in different ways in different people. But the bottom line for me is that any technique that has potential validity as an approach needs to be looked at in a formal way.”

Advertisement

There is now little doubt that our understanding of the lymphatic system needs further research. Already, the glymphatic system is offering new perspectives on brain diseases such as Alzheimer’s.

“We’re increasingly learning about the physiology on which the Perrin Technique is based,” Heald says. “The science is slowly catching up with what Dr Perrin has been proposing as a technique for many years.”

Still, Perrin himself emphasises that his technique is not a cure, but should be used as part of a jigsaw approach in dealing with long COVID. Starting with the corners: rest, relaxation, meditation and pacing.

The edge pieces of the jigsaw are the Perrin Technique itself: “Getting the neuronal lymphatic system working better is essential for everything else,” he says.

Advertisement

The middle is nutritional supplements and diet.

“Some people are 20-piece jigsaw pieces, some are thousands of pieces,” he says. “We don’t cure everybody, but we keep a lot of people on the right side of health.”

Four Perrin Technique self-massage exercises

One of the massage starting points recommended by the Perrin Technique for chronic fatigue.Screenshot/The Telegraph, London

1. Sit with your elbows resting on a table and apply gentle pressure to the sides of the bridge of your nose with each index finger. For the first 10 days apply this pressure for seven minutes. After that, continue for one minute each day.

Advertisement

2. Spread the fingers of one hand across your face, as if trying to span your forehead. Slowly stroke your fingertips down your face to your chin. Stroke for 20 seconds with one downward stroke roughly every four seconds.

3. Using both hands on the sides of your head, gently stroke downwards towards your chin. Stroke for 20 seconds, each stroke lasting four seconds. Repeat from the top of the head towards the neck.

4. Lying on your back, using an oil, massage gently from the top of your neck, just under your ear, down towards your collarbone using the backs of your fingertips. Continue for 20 seconds on each side.

The Telegraph, London

Get a note direct from our foreign correspondents on what’s making headlines around the world. Sign up for the weekly What in the World newsletter here.

From our partners

Advertisement
Advertisement