The Sydney Morning Herald logo
Advertisement

This was published 5 years ago

Coronavirus survivor in US receives double lung transplant

Surgeons in Chicago have given a new set of lungs to a young woman with severe lung damage from coronavirus.

Only a few other COVID-19 survivors, in China and Europe, have received lung transplants.

Surgeon Ankit Bharat, pictured, performed the double lung transplant last week. Northwestern Medicine

The patient, who is in her 20s, was on a ventilator and heart-lung machine for almost two months before her operation last Friday at Northwestern Memorial Hospital.

The 10-hour procedure was challenging because the virus had left her lungs full of holes and almost fused to the chest wall, Dr Ankit Bharat, who performed the operation, said.

Advertisement

Doctors have kept her on both machines while her body heals but say her chances for a normal life are good.

"We are anticipating that she will have a full recovery," said Dr Rade Tomic, medical director of the hospital's lung transplant program.

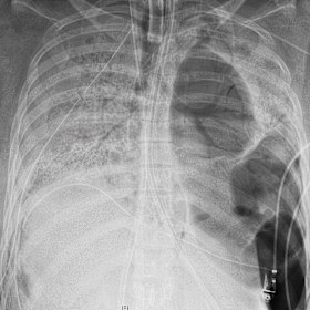
The patient's chest X-ray before she received a new set of lungs. Northwestern Medicine

The patient was not identified but Bharat said she had recently moved to Chicago from North Carolina to be with her boyfriend.

She was otherwise pretty healthy but her condition rapidly deteriorated after she was hospitalised in late April. Doctors waited six weeks for her body to clear the virus before considering a transplant.

Advertisement

Lungs accounted for just 7 per cent of the nearly 40,000 US organ transplants last year. They are typically hard to find and patients often wait weeks on the transplant list.

The Chicago patient was in bad shape, with signs that her heart, kidneys and liver were beginning to fail, so she quickly moved up in line, Bharat said.

Get our Morning & Evening Edition newsletters

The most important news, analysis and insights delivered to your inbox at the start and end of each day. Sign up to The Sydney Morning Herald’s newsletter here, to The Age’s newsletter here and Brisbane Times' here.

AP

From our partners

Advertisement
Advertisement