The Sydney Morning Herald logo
Advertisement

This was published 5 years ago

World-first tool to help medicos detect COVID-19 could save 'thousands of lives'

Rachel Clun

Sydney scientists have developed a world-first COVID-19 diagnostic tool to help frontline healthcare workers rapidly identify patients.

The free online program trains doctors to spot COVID-19 in CT scans of patients’ lungs.

Professor Stuart Grieve, with a lung CT scan showing moderate COVID-19. He's the co-creator of a tool that will train doctors in diagnosing the disease from scans.Jacky Ghossein

Widespread use of the tool, named CovED, by medical professionals could save “thousands of lives”, medical radiation scientist at the University of Sydney Professor Patrick Brennan said.

“It’s a tool which makes clinicians, healthcare professionals anywhere in the world able to recognise and identify the disease much more effectively than they could previously,” he said.

Advertisement

“We think it’s really important, we think it will save thousands and thousands of lives.”

Professor Brennan, who is chief executive of the company behind the tool DetectED-X, said testing that is being widely used simply tells health professionals whether patients have COVID-19 or not. But lung CT scans can show doctors how severe the disease is in each patient.

“Once you have that information you can effectively triage the patient, know what you’re doing with the patient and save lives,” Professor Brennan said.

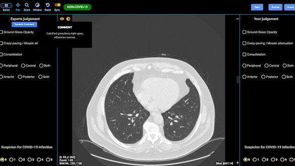
A lung CT showing no sign of COVID-19. DetectED-X

Leading University of Sydney academic radiologist and CovED co-creator Professor Stuart Grieve said there are three predominant signs of COVID-19 that show up on lung scans.

Advertisement

If a patient has the right history of risk, the first sign of an early COVID-19 infection is called “ground glass opacity”, where the normally black space in the lungs appears “like a frosted window”.

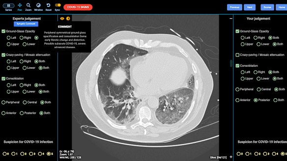
The second sign is called “crazy paving”, because Professor Grieve said it looks “exactly like that” - patches of lung that are whiter in appearance than others, which shows a more advanced stage of the disease.

A lung CT showing indications of severe COVID-19.DetectED-X

The third sign is called consolidation, where the lung is filled with mucus and appears white with no air able to enter that area, Professor Grieve said.

While only specialised lung radiologists are able to interpret lung CT scans, Professor Grieve said there were a small number of them and this tool - dubbed CovED - would be useful for all frontline doctors including those in emergency departments and ICUs.

Advertisement

“We’re getting to the point now where everyone's on the front line and we don't have the amount of people to do all the tasks, people have to chip in and do everything,” he said.

He said the training tool will also help doctors improve their treatment, as they will be able to spot signs of other lung conditions that could complicate their patients’ recovery.

“We can [then] start people on the road to ICU admission and treat them with something that we know is effective,” he said.

The training tool has been developed from DetectED-X’s breast cancer screening tool, which Professor Brennan said has proven results.

Advertisement

The University of Sydney was in talks with federal Health Minister Greg Hunt to roll out CovED nationally, but with help from GE Healthcare and Amazon, Professor Brennan hopes to make the tool “as global as possible”.

Loading

Rachel ClunRachel Clun is a former economics correspondent for The Sydney Morning Herald and The Age.Connect via X or email.

From our partners

Advertisement
Advertisement