The Sydney Morning Herald logo
Advertisement

This was published 5 years ago

Three highly textured breast implants banned over cancer fears

Kate Aubusson

The Australian medical device watchdog has banned the use of three breast implants over links to a rare cancer.

The silicone and polyurethane implants have been struck off the Australian Register of Therapeutic Goods this week amid ongoing international investigations into concerns that highly textured implants pose an increased risk of breast implant-associated anaplastic large cell lymphoma (BIA ALCL).

Loading

The cancelled implants are:

  • Two Polytech (JT Medical) gel filled implants - the Sublime Line Microthane Silicone and the 4Two Line Single Lumen Micro Polyurethane Silicone implants; and
  • Euro Implants (Eurosilicone SAS) Cristaline Paragel Cohesive Gel Implant
Advertisement

The silicone and polyurethane implants have been suspended since October 2019, but after reviewing submissions from their manufacturers, the TGA decided to cancel them outright.

“As a result, these devices cannot be supplied, imported or exported from Australia, without special authorisation,” the TGA said in a statement.

Medical experts do not recommend people with cancelled, suspended or recalled implants have them removed unless they have symptoms of BIA ALCL.

Anyone with any breast implants that detect any change in the breast or armpit - such as swelling, a lump, pain a rash or itchiness - should consult their doctor.

Advertisement

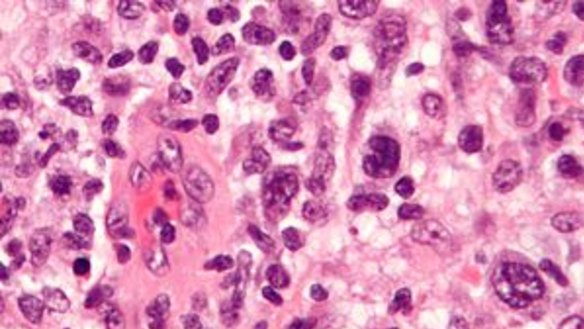
Five women in Australia and New Zealand have died of BIA-ALCL and more than 100 have been diagnosed with the rare cancer of the immune system that develops in the fluid and scar tissue surrounding the implants.

Microgram of anaplastic large cell lymphoma.Wikipedia

All cases have involved textured implants, and the greater the texture the higher the risk, data suggests.

There have been 964 confirmed and suspected cases of BIA ALCL and 36 confirmed deaths worldwide, the American Society of Plastic Surgeons reports. The first case was reported in 1997.

Despite the first cases of BIA ALCL being described over a decade ago, it is only in the last three years that robust research and data collection has shed light on the risks.

Advertisement

The cancer is still rare and the vast majority of cases are successfully treated by removing the implants and capsule surrounding them.

Breast implants come in both textured and smooth formats, with the former resembling sandpaper, making it less likely to move around.

An analysis by Australian researchers found 73.9 per cent were linked to highly textured grade 4 and grade 3 implants. The lesser textured grade 2 implants were linked to 19.6 per cent of ALCL cases.

They calculated the risk of developing ALCL from grade 4 implants was one in 2800 breast augmentations and one in 3300 for grade 3.

The risk drops off markedly for the lesser textured grade 2 (one in about 84,000).

Advertisement

President of the Australian Society of Plastic Surgeons Dr Dan Kennedy said the peak body supported the cancellations.

“The Australian Society of Plastic Surgeons has been working with the TGA to minimise the risk of harm to Australian women and Australian specialists plastic surgeons are contributing to global research into this rare cancer,” he said.

“BIA ALCL is a rare cancer and can be successfully treated if detected early. We would emphasise that cancellation of the implants does not mean that implants that have previously been inserted should be removed if there are no symptoms to indicate ALCL.”

In July 2019, Allergan withdrew its Biocell Natrelle range of macro-textured implants and tissue expanders.

Advertisement

Since February all patients considering breast implants must be given a patient information leaflet detailing the warnings and risks associated.

Loading

Get our Morning & Evening Edition newsletters

The most important news, analysis and insights delivered to your inbox at the start and end of each day. Sign up to The Sydney Morning Herald’s newsletter here, The Age’s newsletter here, Brisbane Times' here and WAtoday's here.

Kate AubussonKate Aubusson is Health Editor of The Sydney Morning Herald. Connect via X or email.

From our partners

Advertisement
Advertisement